Alicia's Story
“We all have things when we look in the mirror that maybe we would like to change, but my smile is one of those things I'm so, so comfortable and so happy with."
- Alicia
Alicia’s Smile Journey: A Conservative Approach to Beautiful Results

When Alicia first came to see us, she arrived with a clear vision of what she wanted. After browsing the smile makeovers on our website, she had noticed that many of our transformations involved porcelain veneers, and she was convinced that’s what she needed too.
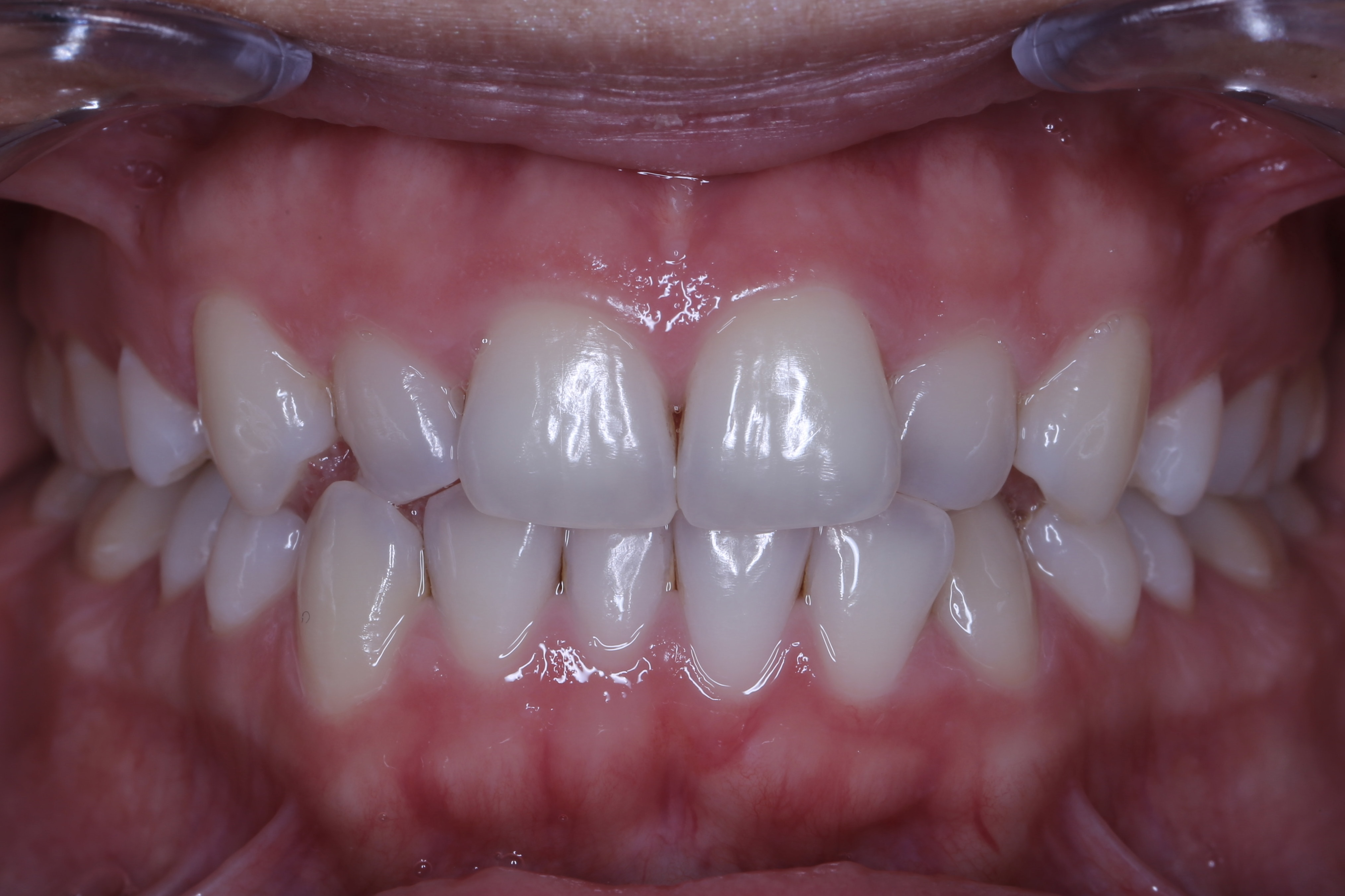
During her consultation, however, we took a closer look at her unique situation. The truth was, Alicia had beautiful teeth, they just weren’t in the right position. Her teeth had shifted over time and simply needed to be properly arranged. Rather than immediately jumping to extensive cosmetic work, we recommended a phased treatment approach that would address the root causes and give her the best long-term results.
Phase One began with Invisalign treatment, which took approximately six to eight months to gently straighten her teeth into their ideal positions.
Phase two included crown lengthening, a procedure designed to reveal more of her natural teeth that had been hidden beneath her gumline. This gave her smile better proportions and a more balanced appearance.
Phase Three involved minor restorative work to perfect the final result.
During the course of treatment, Alicia also experienced some TMJ discomfort. We were able to successfully address this with targeted Botox treatment and a custom occlusal guard for nighttime wear.
The outcome exceeded even Alicia’s expectations. She was blown away by her results and now has complete trust in Dr. Mello’s treatment recommendations. Best of all, we achieved her dream smile through a conservative approach that preserved her natural teeth.

Transform your life - Contact us to start your journey today.

